ブログ

エコー検査

姫路循環器病センター 放射線

姫路循環器病センターでは現在、心臓エコー・腹部エコー・血管エコー(頸動脈・下肢静脈等)を年間13000件行っています。エコー検査は超音波の反射を用いて検査を行うため、人体への影響が無く、リアルタイムに観察することができます。


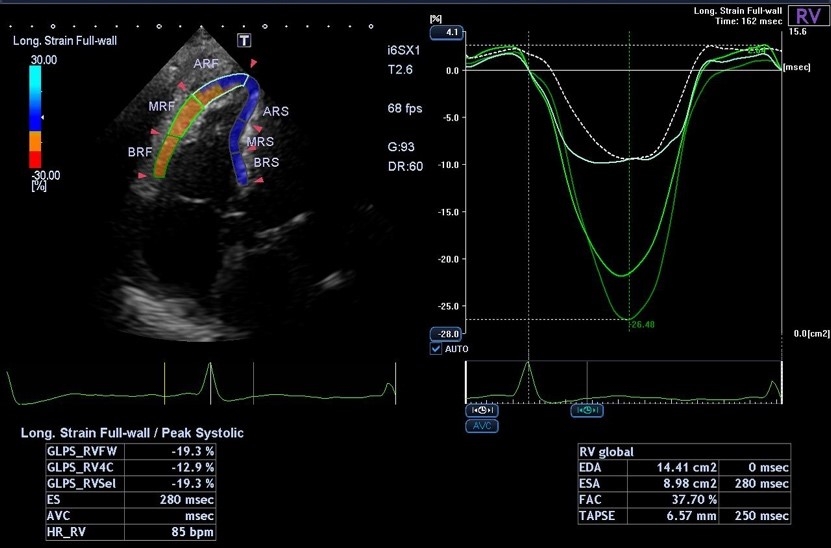
心臓エコーでは、心筋梗塞や狭心症による心臓の壁運動異常や心機能の評価、大動脈弁狭窄症や僧帽弁逆流症等の弁膜症の重症度評価を行います。当院では心臓の収縮機能評価としてストレイン解析を使用しています。心筋は立体的に収縮するため、視覚的に評価が難しいのですが、ストレイン解析により視覚的に評価できない心筋の長さや壁厚の変化を定量的に解析でき、心筋障害を捉えることが可能になります。

また202111月からキャノンの最新機種である超音波検査装置(Aplio i-series Prism Edition)を導入しました。これにより最新技術である右室・左房・右房のストレイン解析が可能となりました。

yb364e35r7qmr9dndeqxfmoavlv0xd0u.jpg
fdqjw8axqcttnqqx7a56j5wntk74cc80.jpg

新病院開院が間近となりました。新病院でもより良い超音波検査を提供できるよう、日々精進してまいります。


2026年05月
« 2026年04月 2026年06月 »
1 2
3 4 5 6 7 8 9
10 11 12 13 14 15 16
17 18 19 20 21 22 23
24 25 26 27 28 29 30
31

最近のブログ

  • 植込み型不整脈ディバイスと臨床工学技士

    植込み型不整脈ディバイスと臨床工学技士

  • 地域医療連携課 前方事務について紹介いたします

    地域医療連携課 前方事務について紹介いたします

  • 抗がん剤の調製について

    抗がん剤の調製について

RECRUIT

多くの笑顔を守る場所で、
一緒に働きませんか?
お問い合わせはこちら