ブログ

細菌検査業務紹介

広畑・臨床検査科

細菌検査とは、感染症や炎症などを引き起こしている原因の細菌を見つけ、どんな薬が効くかを調べる検査です。

検査を進めるには細菌を育てなければなりません。

細菌が成長するまでに早いもので1~3日、遅いものは8週間かかるものもあります。

とは言え、臨床現場では、検査結果を待っていられません。

そこで、役に立つのが今回紹介する、グラム染色です。

 

グラム染色とは細胞壁の構造の違いによって細菌を染め分ける方法で、細菌を分類する上で重要な基準となっています。また、細菌の形態や配列を観察することができるため、ある程度の菌種を推定することができます。

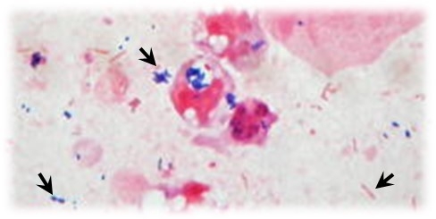
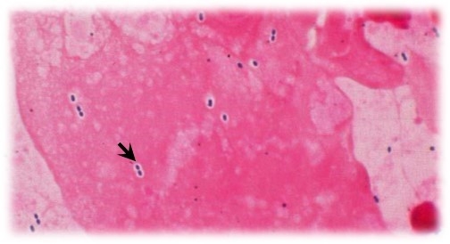
細菌は下記の画像のように染色され、青色やピンク色に染まります。

dl18r6hz3galk1fww5fbzv42-gx9f6p5.jpg
w1ih0nylvw6s_dvb8x0u0i19_mfrokw1.jpg


こちらは肺炎を引き起こす代表的な細菌、肺炎球菌のグラム染色像です。

肺炎球菌は菌が2つ連なっており、よく見ると菌の周りが白く抜けて見えます。

これは菌の周りに莢膜(きょうまく)があり、その部分は染まらないことが特徴です。

これらの特徴などから肺炎球菌と推定することができます。

 

こういった細菌ごとの特徴を観察することで菌種を推定しています。

短時間で菌種が推定できることで、早期に適切な薬を選択できより良い治療へと繋がっています。

 

2026年05月
« 2026年04月 2026年06月 »
1 2
3 4 5 6 7 8 9
10 11 12 13 14 15 16
17 18 19 20 21 22 23
24 25 26 27 28 29 30
31

最近のブログ

  • 植込み型不整脈ディバイスと臨床工学技士

    植込み型不整脈ディバイスと臨床工学技士

  • 地域医療連携課 前方事務について紹介いたします

    地域医療連携課 前方事務について紹介いたします

  • 抗がん剤の調製について

    抗がん剤の調製について

RECRUIT

多くの笑顔を守る場所で、
一緒に働きませんか?
お問い合わせはこちら