2024年度より新たに2人の先生が赴任され合計5名での診療体制となりました。肺癌・びまん性肺疾患・気管支喘息・COPD・肺炎など多岐に渡る疾患を診療とし、ほぼすべての検査・治療が自施設で可能です。また、呼吸器における指定難病や身体障害者の申請も可能です。

画像提供:(株)オリンパス
当院では毎週火・木曜日に気管支鏡検査を行っております。クライオ生検など特殊な生検や処置を除き外来で検査を受けて頂いています。仮想気管支鏡ナビゲーションシステム・ガイドシース併用気管支腔内超音波断層法(EBUS-GS)・超音波気管支鏡ガイド下針生検(EBUS-TBNA)など症例に応じて使用しています。またリンパ節穿刺においては迅速細胞診(Rapid On-Site cytologic Evaluation:ROSE)を用いての評価も可能です。難治性気胸に対してのEWS(endobronchial Watanabe spigot)など、内視鏡治療も積極的に行っています。

画像提供:(株)アムコ 公式ホームページ
クライオ生検は、気管支鏡検査で行う生検方法の一つで、クライオプローブという凍結凝固装置を用いて組織の一部を凍らせます。プローブを病変に接触させて組織を凍結させることで、従来の気管支鏡検査で行う肺生検よりも大きな検体を採取することが可能となり、びまん性肺疾患の診断および治療方針決定や腫瘍の閉塞解除等に用いられます。当院では兵庫県内の県立病院では初めて採用し、主にびまん性肺疾患の診断に用いております。
当院では局所麻酔下での診断にも力を入れております。中皮腫が疑わしく通常の鉗子生検で診断が困難な症例に対しては、クライオプローブを用いて積極的に診断を行っています。また御高齢で全身麻酔が困難な感染性の胸膜炎や膿胸への胸腔内掻把術など治療を目的とした局所麻酔下での胸腔鏡処置も行っています。
局所麻酔下での胸膜炎治療
呼吸器専門医・放射線科医・肺病理専門医の3者が合議の上でびまん性肺疾患の診断を行うことをMDDと呼んでいます。当院には放射線診断医と肺を専門とする病理医がおり、自施設でMDDが可能です。一般的に、以前は全身麻酔下で肺の生検を行っていましたが、クライオ生検が普及するようになってからは、クライオ生検でのMDDが多くなっています。当院でもクライオ生検を行った患者さんを中心にMDDを行い、診断や治療方針を決定しています。
当院では呼吸器外科と合同で呼吸器センターを立ち上げ、週1回呼吸器外科・呼吸器内科・病理診断科合同でカンファレンスを行い、治療適応を決定しています。進行肺癌については主に呼吸器内科で診療を行い、放射線化学療法や免疫療法を含めた化学療法での治療を行っています。近年肺癌治療の進歩は目覚ましく、免疫療法や様々な遺伝子変異に応じた分子標的薬などがあります。そのため包括的な遺伝子検索を行い、遺伝子変異に応じた治療薬を選択して治療にあたっています。
また当院では全科揃っており癌に関連した殆どすべての治療が自施設で可能です。例えば転移性骨腫瘍が増大することで脊髄が障害され麻痺が出現した場合にも整形外科に依頼して手術をおこなっています。
腫瘍による脊髄圧迫
椎弓切除術前後のCT
放射線治療は定位放射線治療や、強度変調放射線治療(IMRT)などの照射範囲を最小限に抑える照射法が可能で、今までは根治的な照射が難しい場合でも照射が可能になり、患者さんの負担を軽減することが出来ます。また肺の腫瘍は肺内に限局していて手術適応でも心臓や肺の機能が悪く全身麻酔が困難な場合は、放射線での根治照射を行っています。
定位放射線治療
強度変調放射線治療(IMRT)
当院には常勤の緩和ケア専門医がおり、緩和ケア病棟もあります。そのため、病気の治療のみならず、症状の緩和やよりよい人生を生きることを多職種でサポートさせて頂きます。緩和ケア病棟は全室個室20床、トイレ、洗面台完備で穏やかに過ごしていただくための設備としてファミリーキッチン・家族控室・デイルームとテラスがあります。
緩和ケア病棟の病室
詳細については各診療科のページをご覧ください。
「息切れ」はよくある症状ですが、心臓・肺を中心として様々な臓器から起こる症状であり、最初にどの診療科に紹介するか悩まれるのではないかと思います。当院では循環器内科・呼吸器内科・総合内科・リハビリテーション科が最初から連携して診察を行う「息切れ外来」を開設して門戸を広く対応できる専門外来を開設致しました。多職種で早期から介入することで、正確な診断や的確な治療方針の提案が可能となります。
慢性的な経過で主に労作時息切れを自覚されている患者さんを対象とし、リハビリテーションが可能で定期的な当院通院が可能な方を中心に診察を行います。
外来にて原因精査のため診察・問診や各種検査を行い、原因が分かればその疾患に応じた診療科にて専門的な診察を行えるように橋渡しをしています。原因が分からない場合でも、リハビリテーションや呼吸リハ指導などを行って参ります。
毎週金曜午後に専門外来をひらいています。事前の完全予約制としていますので、大変申し訳ございませんが当日の受診はお断りしています。
※数日単位での急速な症状進行の方は今まで通り、各診療科へご紹介頂ければ幸いです。
例1. 間質性肺炎と診断も軽症のため経過観察中の息切れ
例2. 心不全と診断され体重増加なく経過中の息切れ

睡眠呼吸障症候群は、毎日の初診外来で紹介を受け付けています。まずは外来で簡易ポリソムノグラフィーで検査を行い、睡眠時無呼吸症候群が強く疑われる場合は、1泊2日(木曜もしくは金曜入院)で精密ポリソムノグラフィー検査を行います。地域の先生方や他科から睡眠時無呼吸症候群が疑われる患者さんをご紹介いただき、当科で診断・治療導入をさせて頂き、病態が安定すれば地域の先生方に再度紹介させて頂き、継続治療をお願いさせて頂いています。

※AHI:1時間あたりの睡眠中の無呼吸、低呼吸の回数を表し、無呼吸低呼吸指数(Apnea Hypopnea Index)
| 簡易ポリソムノグラフィー検査(主に外来で検査) | 検査費用 約3,200円(健康保険3割負担時) |
|---|---|
| 精密ポリソムノグラフィー検査(原則1泊2日) | 入院費と検査費用含め約37,000円(健康保険3割負担時) |
| CPAP療法 | 約4,000円/月(健康保険3割負担時) |
非結核性抗酸菌症はその名の通り“結核ではない”抗酸菌です。結核と形態的に類似しておりますが、結核と異なり人から人の感染はしません。非結核性抗酸菌症の内、肺に感染を来す非結核性抗酸菌症の内9割がMAC(Mycobacterium aviumとMycobacterium intracellulare)とされています。
多くは無症状もしくはあっても軽度で、特に必要としない場合が多いです。ですが症状が進行し、肺の画像が悪化する場合は、2~3種類の抗生剤を組み合わせて内服治療を行います。年単位での内服を必要とし、病変が限局している場合は外科手術を検討する場合があります。症状としては咳嗽・喀痰が主体で、時に血痰・喀血を来す場合もあります。多くの場合は自然に改善しますが、繰り返したり血痰の量が増加する場合には気管支動脈塞栓術というカテーテル治療で止血を図る場合があります。
肺MAC症による喀血に対するBAEでの止血術

新薬がない病気でしたが、近年アリケイス®という吸入の抗生剤が登場し、標準治療で菌が減らない患者さんの新たな治療選択肢が増えました。ただ薬剤が高額であり、吸入器の衛生管理などの観点ですべての方に行うことは難しいですが、高額療養費制度の説明や入院での吸入指導等、サポートできる環境を整えております。

アリケイス®・ラミラ®
画像提供:(株)インスメッド ホームページ

気管支喘息は、過去には亡くなる病気でしたが、吸入ステロイドの普及に伴い改善することが多くなりました。それでも発作を繰り返す方は少なからずおり、当院では発作を繰り返す原因としてアレルギーの関与がないか吸入手技がきちんと行えているかどうか等も含め精査・治療を行っております。
近年難治性喘息に対して生物製剤が続々と登場しています。薬剤が高額であり、すべての方に行うことは難しいですが、高額療養費制度の利用等、サポートできる環境を整えております。
| 薬剤名 | オマリズマブ | メポリズマブ | ベンラリズマブ | デュピルマブ | テゼペルマブ |
|---|---|---|---|---|---|
| 作用機序 | 抗IgE抗体 | 抗IL-5抗体 | 抗IL-5α抗体 | 抗IL-4/IL-13抗体 | 抗TSLP抗体 |
| 用法 | 2週または 4週毎 皮下注射 |
4週間毎 皮下注射 |
4~8週間 皮下注射 |
2週間毎 皮下注射 |
4週間毎 皮下注射 |
| 自己注射 | 〇 | 〇 | × | 〇 | × |

INBODY770®(InBody Japan公式ホームページより)
COPDは殆ど喫煙が原因でタバコの煙を吸入することで肺の中の気管支に炎症がおきる病気です。40歳以上の人口の8.6%、約530万人の患者が存在すると推定されていますが、大多数が未診断、未治療の状態であると考えられ、2021年は男性で死亡原因の第9位でした。
主な症状としては、せきやたんが出たり、気管支が細くなることによって空気の流れが低下します。また、気管支が枝分かれした奥にあるぶどうの房状の小さな袋である肺胞が破壊されて、肺気腫という状態になると、酸素の取り込みや二酸化炭素を排出する機能が低下し、息切れを感じます。COPDではこれらの変化が併存していると考えられています。吸入薬で細くなった気管支を広げることで空気の通りを若干改善させることは出来ますが、残念ながらボロボロになった肺は治療によっても元に戻ることはありません。
また息切れがひどいと、少し動くだけで息切れするため動かなくなります。そのため筋力が低下して呼吸に関連した筋力も低下してまた息切れが進行するという悪循環に陥ります。近年こういった状況のことをサルコペニア(筋力の低下+運動機能の低下)と呼び、ここまで進行してしまうと薬物治療での症状改善は困難です。
当院ではInbodyという体成分分析装置を用いて、体全体の筋肉量の低下を評価します。サルコペニアが疑わしければ、呼吸リハビリテーション目的に1~2週間程度の短期間の入院を勧めています。リハビリテーション科とも協力して自宅で継続可能な運動療法を行います。

たばこは様々な癌のリスクや心筋梗塞や脳梗塞などの血管障害のリスクを増加させます。たばこをやめることが自力で難しい原因としては、ニコチン依存状態という病気のため困難と言われています。禁煙外来では「ニコチンパッチ」という張り薬と「バレニクリン」という飲み薬があります。現在バレニクリンは全国的に使用が出来ませんが、ニコチンパッチを用いた禁煙を当院では取り組んでおります。
禁煙治療は12週間の間に合計5回の診察を行い、禁煙を目指します。禁煙をしたいけれども自力でやめられない方は是非医師と一緒に禁煙を目指しましょう。
| ニコチンパッチ | 約13,000円(健康保険3割負担時) |
|---|---|
| バレニクリン | 約19,960円(健康保険3割負担時) |

よしむら しょう
吉村 将
診療科長・呼吸器センター副センター長
【専門領域】
呼吸器内科
【学会専門医・認定医・その他】
日本内科学会認定内科医・総合内科専門医 日本呼吸器学会呼吸器専門医 日本呼吸器内視鏡学会気管支鏡専門医・指導医 神戸大学医学部臨床教授 医学博士 難病指定医 がん等の診療に携わる医師等に対する緩和ケア研修会修了
きむら ようへい
木村 洋平
【専門領域】
呼吸器内科・感染症
【学会専門医・認定医・その他】
日本内科学会認定内科医・総合内科専門医 日本呼吸器学会呼吸器専門医 日本呼吸器内視鏡学会気管支鏡専門医 日本結核・非結核性抗酸菌症学会結核・抗酸菌症認定医・指導医 ICD制度協議会インフェクションコントロールドクター 難病指定医 がん等の診療に携わる医師等に対する緩和ケア研修会修了
まつもと かりん
松本 夏鈴
【専門領域】
呼吸器内科
【学会専門医・認定医・その他】
日本内科学会内科専門医 がん等の診療に携わる医師等に対する緩和ケア研修会修了
にしい まさひこ
西井 雅彦
【専門領域】
呼吸器内科
【学会専門医・認定医・その他】
がん等の診療にかかわる医師等に対する緩和ケア研修会修了
うらた かつや
浦田 勝哉
専攻医
【学会専門医・認定医・その他】
がん等の診療に携わる医師等に対する緩和ケア研修会修了
たなか まなや
田中 愛也
専攻医
【学会専門医・認定医・その他】
がん等の診療にかかわる医師等に対する緩和ケア研修会修了
| 2024年度 (783人) |
2023年度 (612人) |
2022年度 (462人) |
2021年度 (313人) |
2020年度 (214人) |
|
|---|---|---|---|---|---|
| 悪性疾患 (肺癌/悪性胸膜中皮腫など) |
347 (44.3%) |
266 (43.5%) |
222 (48.1%) |
121 (38.7%) |
36 (16.8%) |
| 感染性肺疾患 (肺炎/肺膿瘍/抗酸菌感染症など COVID-19は除く) |
116 (14.8%) |
56 (9.2%) |
47 (10.2%) |
51 (16.3%) |
51 (23.8%) |
| 胸膜疾患 (膿胸/気胸/胸腔鏡精査目的を含む) |
86 (11.0%) |
77 (12.6%) |
46 (10.0%) |
18 (5.8%) |
22 (10.3%) |
| 間質性肺疾患 | 75 (9.6%) |
62 (10.1%) |
36 (7.8%) |
30 (9.6%) |
25 (11.7%) |
| 喘息/慢性閉塞性肺疾患 (発作/急性増悪を含む) |
49 (6.3%) |
37 (6.0%) |
27 (5.8%) |
19 (6.1%) |
10 (4.7%) |
| 喀血/肺胞出血 | 32 (4.1%) |
20 (3.3%) |
18 (3.9%) |
13 (4.2%) |
10 (4.7%) |
| 睡眠時無呼吸症候群 | 29 (3.7%) |
31 (5.1%) |
17 (3.7%) |
12 (3.8%) |
5 (2.3%) |
| その他 | 49 (6.3%) |
46 (7.5%) |
49 (10.6%) |
49 (15.7%) |
55 (25.7%) |
※2022年5月より現在のはりま姫路総合医療センター
| 2024年度 | 2023年度 | 2022年度 | 2021年度 | 2020年度 | |
|---|---|---|---|---|---|
| 気管支鏡検査/処置 (吸痰処置のみの症例を除く) | 340 | 341 | 251 | 132 | 107 |
| EBUS-GS (ガイドシース併用気管支内超音波断層法) | 68 | 52 | 51 | ー | ー |
| EBUS-TBNA (超音波気管支鏡ガイド下針生検) | 39 | 38 | 23 | ー | ー |
| クライオ生検 | 21 | 15 | 8 | ー | ー |
| EWS留置 | 13 (7症例) |
11 (8症例) |
6 (3症例) |
3 (3症例) |
ー |
| 局所麻酔下胸腔鏡検査 | 29 | 30 | 20 | 3 | ー |
| エコー下肺生検 | 1 | ー | ー | ー | ー |
※2022年5月より現在のはりま姫路総合医療センター
| 2023年度 | 2022年度 | |
|---|---|---|
| 延外来患者数 | 6,883 | 4,039 |
| 紹介初診患者数 | 545 | 398 |
| 紹介元病院・医院数 | 229 | 190 |
| 外来化学療法数 | 693 | 230 |
お急ぎの患者さんがおられる場合には適宜、呼吸器内科医までお電話でご連絡をいただければ対応させていただきます。あらゆる呼吸器分野の疾患に対して最新の医療エビデンスを踏まえたうえで治療方針をご提案させていただき、その上で患者さんとご家族に寄り添った診療を心がけていきます。
2022年10月に開設した「息切れ外来」ですが、約1年半で87名の患者さんをご紹介いただきました。基礎疾患で最も多かったのは呼吸器疾患(全体の36.8%)で、COPDと気管支喘息が中心(併せて84.4%)でした。循環器疾患は29.9%で、肺高血圧やHFpEF、狭心症などが主な原因でした。新たな発見として、息切れ
外来を受診された患者さんの22.3%にサルコペニアが合併しており、運動指導の重要性を改めて認識しました。
今後も症例を蓄積しながら結果をご報告してまいります。4診療科が連携して診療を行っておりますので、引き続き「慢性の息切れ」患者さんをご紹介いただけますと幸いです。完全予約制のため、地域医療連携課を通じてご予約をお願いいたします。

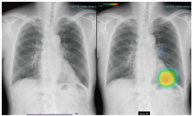
近年、胸部画像の見落としによる診断遅れが医療過誤として報道されるケースが散見されます。こうした背景を受け、当院では2024年5月より、胸部X線画像を自動解析・判読するソフトウェアを導入しました。
医師の見落としを防ぐ助けとなるだけでなく、画面上で異常部位を分かりやすく示してくれるため、患者さんにもご自身の病状を理解していただきやすくなったと実感しています。胸部に異常陰影が見られる患者さんがいらっしゃいましたら、分かりやすく病状を提示することができますので、ぜひ当院へのご紹介をご検討ください。

| 演者 | 演題名 | 学会名 | 発表日 |
|---|---|---|---|
| 木村 洋平 | 呼吸困難を契機に診断されたPseudoxanthoma elasticumの一例 | 第63回 日本呼吸器学会学術講演会 | 2023年4月30日 |
| 木村 洋平 | 気管支鏡直後に右季肋部痛を来し腹部超音波検査で早期診断出来た腹直筋血腫の一例 | 第101回日本呼吸器学会近畿地方会 | 2023年7月22日 |
| 浦田 勝哉 | 小細胞肺癌の転移性脊髄腫瘍により不全麻痺を来すも,椎弓切除術により化学療法を施行することが出来た1例 | 第101回日本呼吸器学会近畿地方会 | 2023年7月22日 |
| 松尾 健二郎 | 頸椎腫瘍を伴い悪性乳び胸水が疑われるもゴーハム病の診断に至った一例 | 第10回 神戸呼吸器内科勉強会 | 2023年9月23日 |
| 向田 諭史 | 胸腔鏡下試験切除術により診断し得たGrey zone lymphoma の1例 | 第102回日本呼吸器学会近畿地方会・第7回日本呼吸ケア・リハビリテーション学会近畿支部学術集会 | 2024年1月20日 |
| 浦田 勝哉 | 急速に増大し、胸壁に巨大な腫瘤を呈した肺多形癌の1剖検例 | 第102回日本呼吸器学会近畿地方会・第7回日本呼吸ケア・リハビリテーション学会近畿支部学術集会 | 2024年1月20日 |
| 木村 洋平 | 4科合同息切れ外来での呼吸器疾患による息切れの特性 | 第64回 日本呼吸器学会学術講演会 | 2024年4月6日 |
| 松尾 健二郎 | 当院息切れ外来における原因疾患の検討 | 第64回 日本呼吸器学会学術講演会 | 2024年4月6日 |
| 演者 | 演題名 | 講演会名 | 発表日 |
|---|---|---|---|
| 木村 洋平 | 息切れ症状から疑う慢性閉塞性肺疾患 -息切れ外来を開設半年で見えてきたこと- |
外来で診る「息切れ」を考える会in姫路 | 2023年4月6日 |
| 木村 洋平 | 重症喘息における生物製剤の位置づけ | 『Severe Asthma Seminar in Himeji | 2023年4月18日 |
| 木村 洋平 | 「息切れ」への早期介入の意義について | 播磨呼吸ケア研究会 | 2023年7月15日 |
| 木村 洋平 | 気管支喘息治療-Up To date- | 専門医と語ろう!地域の総合医と専門医を繋ぐプロジェクト | 2023年7月19日 |
| 木村 洋平 | 肥満に隠れたCOPDっぽくないCOPD -科学と実践が示す治療戦略- | 呼吸器疾患病診連携会 in 姫路 | 2023年9月12日 |
| 木村 洋平 | irAEマネジメント ~呼吸器内科医の立場から~ | Lung Cancer Seminar in HIMEJI | 2023年10月18日 |
| 木村 洋平 | FVC80%以上の患者への提案は是か非か? 必要 という視点から考えるILD診療 |
ILD Web講演会 | 2023年10月26日 |
| 木村 洋平 | 非専門医に知ってほしい間質性肺炎の基礎知識 | 研修医・非呼吸器専門医に知ってほしい事 | 2024年3月11日 |
| 木村 洋平 | 専門医と語ろう-喀血について- | 専門医と語ろう!地域の総合医と専門医を繋ぐプロジェクト | 2024年3月13日 |
ページ内のコンテンツ一覧
当院の2年の初期研修期間で約1カ月間、呼吸器内科をローテートします。この1ヶ月間で、皆さんは呼吸器内科医として必要な聴診や胸腔穿刺などの基本的な手技を、経験を通じて着実に習得することを目指しています。
また、臨床で頻繁に遭遇する疾患についても理解を深めることができます。COPD(慢性閉塞性肺疾患)や喘息といった代表的な疾患の診断、治療について講義を通じて体系的に学ぶことができます。
当科の入院患者さんの内訳を見ると、約4割が肺癌の患者さんです。これは、早期診断から終末期医療まで、肺癌診療の幅広い知識と経験を積む上で貴重な機会となります。その他、細菌性肺炎、間質性肺炎や胸水精査など、多様な呼吸器疾患の患者さんを受け持っており、幅広い疾患に対する理解を深めることができます。
私たちは、この1ヶ月間の研修や当科で行っている胸部レントゲン写真読影道場を通して、皆さんが将来どの分野に進むにしても役立つ呼吸器内科の知識と視点を身につけることを、目指しています。呼吸器内科に興味のある方はもちろん、当院での研修に興味があれば、是非見学に来てください。
当院は、兵庫県内で2番目に人口が多い姫路市の中心部に位置し、東は高砂市、北は宍粟市・朝来市、西はたつの市や赤穂市など、播磨地域全域から患者さんをご紹介いただいています。
当院では、気管支鏡検査数が開院以来増加しており、気管支鏡、胸腔鏡、EWS(気道狭窄に対する治療法)、クライオ生検など、ほぼ全ての呼吸器内視鏡手技が可能です。2024年度は、気管支鏡検査を340件、局所麻酔下胸腔鏡を29件実施しており、2024年度は後期研修医一人当たり気管支鏡約100件、局所麻酔下胸腔鏡約10件の術者をしてもらっています。そのため後期研修医の先生方が基本的な手技を習得するのに十分な症例数を経験できます。
当院は大規模な総合病院であるため、複数の診療科にまたがる複雑な症例や、稀な疾患も経験できます。他科との連携もスムーズで、相談しやすい環境ですので、後期研修医の先生方にとって非常に研修しやすい環境です。当院での研修を通して、呼吸器内科専門医として必要な知識と技能をバランス良く習得することができます。
内科専門研修プログラムに準じて研修して頂きます。下記が基本プログラムとなっています。当院には多くの診療科があり、希望に応じて感染症内科、緩和ケア内科のローテーションや集中治療を中心とした研修などのプログラムを組むことが可能です。

後期研修1年目は10名程度の入院患者さんの主治医として、日々の病棟業務を中心に診療を行います。後期研修3年目以降は、病棟業務に加え、週1回の再診外来を担当していただきます。外来での患者さんとの継続的な関わりを通して、より幅広い臨床経験を積むことができます。
後期研修1~2年目では呼吸器領域の地方会での発表をして頂き、後期研修2~3年目で呼吸器領域の総会での発表を行ってもらいます。
| 月曜 | 午後2時~病棟カンファレンス |
|---|---|
| 火曜 | 午後~気管支鏡 |
| 水曜 | 朝8時~呼吸器内科カンファレンス 午後3時~呼吸器外科・呼吸器内科・病理検討会 午後4時~気管支鏡カンファレンス |
| 木曜 | 午後~気管支鏡 |
| 金曜 | ルーチン業務なし |
※水曜日に肺を専門とする病理医との病理検討会を開催しており、大変勉強になります。また、木曜日は気管支鏡検査を行っておりますので、これらの曜日にご見学いただくことお勧めしています。
当科では、研修医の皆さんが安心して業務に取り組めるよう、勤務体制にも配慮しています。
夜間オンコール:夜間の急な病状変化に対しては、on call医が対応します。主治医への直接の呼び出しは原則としてありませんので、しっかりと休息を取ることができます。
土日当番:土曜日・日曜日は病棟当番医が病棟対応を行います。そのため、当番日以外は勤務時間外の予定を立てやすく、ワークライフバランスを保ちながら研修に集中できる環境です。
私ははりま姫路総合医療センターで前期研修をさせていただきました浦田です 。研修医のころから学会発表の機会を複数回いただき、剖検にも立ち会うなど、貴重な経験を積むことができました。
前期研修中は志望科が決まっておらず、複数の科に魅力を感じていたため、科を選ぶのに大変悩んだ時期もありました。その中でも最終的には呼吸器内科を志望しました。呼吸器内科を志望した理由としては、上級医の先生方が非常に教育に力を入れてくださっていること、また呼吸器内科は肺だけではなく膠原病やアレルギー疾患、感染性疾患など、全身をみる診療科であるところに魅力を感じたことが挙げられます。前期研修中にお世話になった先生のもとで引き続き専攻医として学ばせていただきたいという思いから、3年目になるにあたって当院の内科専門研修プログラムを選びました。
当院内科専門研修プログラムでは3年目の半年は志望科、もう半年は総合内科をローテーションします。私は3年目のはじめの半年を呼吸器内科で研修させていただきました。前期研修医のころから気管支鏡症例を数多く経験させていただいておりましたが、3年目となると質も求められるようになりました。最初は当然うまくいかないこともありましたが、上級医の先生の監督のもとで多くの症例や気管支鏡手技に携わらせていただき、徐々に上達していることを実感できました。忙しくはありましたが、楽しく研修を受けることができました。
4年目は一度はり姫を離れ、1年間他病院での研修を受けることになりますが、半年間は地域の病院で一般内科医として研修し、もう半年は自身の志望科での研修を受けることができます。地域の病院では訪問診療を担当させていただくような経験もでき、当院のような各科の専門家が集まっている病院では経験できない、貴重な経験を多く積むことができました。残りの半年間は、当院の近くに呼吸器内科領域では兵庫県内で特に有名な病院があるのですが、その病院でも非常に密度の高い研修を受けることができました。そして最後の5年目に当院に戻ってきて、さらに1年間呼吸器内科で研修を受けるといった流れになっています。
当院ではクライオバイオプシーやEWSなどの気管支鏡手技も行っており、上級医の先生に丁寧に指導していただけるため、当院で学ぶことができることを日々感謝しています。また、当院は感染症内科や膠原病リウマチ内科の専門の先生がいらっしゃり、複雑な症例もすぐに相談できる環境であるのも大変魅力的です。
少しでも興味を持ってくださった先生がいればぜひ見学にきてください。手技や発表などやりたいことは何でもできるような環境です。私たちと一緒に盛り上げていきましょう!お待ちしております!

専門研修プログラムのお問い合せ先までご連絡ください。